
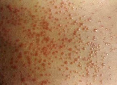
荨麻疹俗称风疹块,是由于过敏而引起的一种过敏性皮肤疾病。通常表现为鲜红色或是苍白色的风团。荨麻疹的发作呈间歇性,发作时瘙痒感剧烈,一段时间后瘙痒感消失、风团也消失。在发病时部分患者还会伴有恶心、呕吐、头痛、腹痛、腹泻等症状。
一、常见的荨麻疹类型
1、人工荨麻疹(皮肤划痕荨麻疹):患者在搔抓后,或在紧束的腰带、袜带等局部起风团,瘙痒。

2、胆碱能性荨麻疹:大多在运动时或运动后不久发生,遇热或情绪紧张后亦可诱发此病。

3、寒冷性荨麻疹:在气温骤降时或接触冷水之后发生,数分钟内在发生瘙痒性风团。

4、日光性荨麻疹:皮肤暴露在日光数分钟后,局部迅速出现瘙痒、红斑和风团。

5、接触性荨麻疹:皮肤接触某些变应原发生风团和红斑。可分为免疫性机制和非免疫性机制2类。

二、治疗荨麻疹,你走出以下误区了吗?
1、不在使用抗组胺口服产品:对肠胃有刺激性,会抑制中枢神经,引起恶心、呕吐、胃部不适、嗜睡等副作用。
2、不再涂药膏:内含激素,加重荨麻疹病情,不能根除,还会造成肥胖、多毛、痤疮、高血压等副作用。
3、不再使用传统治疗方法:传统治疗方法比较单一,只是短时间内消除表面症状,不能从根医治,容易出现反复。
三、【汉方生物共振脱敏疗法】疗效突出
沈阳肤康皮肤病研究院研发的"汉方生物共振脱敏疗法",将传统中医经络疗法和现代生物免疫技术相结合,疏通经络、排出人体毒素,增强人体免疫力,有效抗复发,帮助患者彻底摆脱"奇痒"荨麻疹。针对各类急慢性荨麻疹都有很好的治疗效果,1天祛风止痒,3-5天根除荨麻疹。

四、较好特色疗法,两步治愈荨麻疹
第一步:过敏原检测
沈阳肤康医院引进先进过敏原检测仪器,更加精准定位病因,为治疗提供了坚实可靠的依据。

无痛无创无副作用
15-20分钟即可出结果,准确可靠
治疗周期短,脱敏见效快
第二步:汉方生物共振脱敏疗法治愈荨麻疹
肤康医师为荨麻疹病患制定个性化临床方案,运用“汉方生物共振脱敏疗法”,采用现代生物工程技术提取的天然生物制剂,结合中医针灸、纳米光物理作用于荨麻疹病灶,彻底改变过敏体质,有效调节机体免疫力,恢复自然生理机能,从根源上避免反复发作。
1、对其症:直接杀死细菌、病原体病变细胞,做到有效防控过敏的第一步。
2、断其根:清除病根,并产生抗过敏源体,彻底改变过敏体质,杜绝反复。
3、治其本:皮肤表层及深层受损组织恢复正常结构,真正达到了标本兼治。
五、【汉方生物共振脱敏疗法】五大优势
1、迅速止痒:从源头清除血毒,止痒立竿见影。
2、见效快 疗程短:当天止痒去风团,3-5天根治。
3、无毒副作用:不损肝肾、不抑制免疫,无激素刺激。
4、源头杜绝复发:从源头杜绝了复发,更直接、更彻底。
5、全新给药技术:自血经络疗法全新给药,药效提高20-30倍。
六摆脱荨麻疹折磨,你也可以
柳小姐,20岁,被荨麻疹缠上,脖子都长满了红色的风团,痒得整夜睡不着觉。之前去过沈阳2家医院,花了不少医药费,只是吃西药,效果一直不是很好。后来柳小姐来到沈阳肤康皮肤病研究院,贾勇主任先为她查过敏原,然后通过“汉方生物共振脱敏疗法”治疗,两天后病情就得到控制,身上的风团很快消失。

七、好技术也需要好医师
沈阳肤康医院 作为沈阳市乃至整个东北地区知名的皮肤病专科医院,聚集了一大批医术精湛、经验丰富的皮肤病医师。为了更加精细化专业化治疗荨麻疹疾病,医院特别成立了荨麻疹诊疗中心,并特邀辽省名医金宝安、杨春茹定期会诊,让沈阳百姓在家门口也能享受到首都的先进诊疗技术。

温馨提示:本网站已加密,绝对保证您的隐私安全,就诊前通过手机预约可免排队等候,免医师挂号费。15秒挂号到院免排队,优先就诊。